您好,欢迎访问云南中医药大学第二附属医院官方网站!
综合信息 <
云南中医药大学第二附属医院口腔科成立于1970年,经过50余年的发展,已发展成为以口腔内科、口腔头颈颌面外科、口腔修复、口腔种植、口腔正畸、儿童牙病、口腔放射、特需门诊等为主,集临床,教学,科研为一体的口腔综合科室,拥有较强的技术力量和先进的设备。科室共有6名专业技术人员,其中医师7名,主任医师共1名,副主任医师1名,主治医师3名,医师2名;护师1名。科室拥有门诊治疗椅9台,设置门诊手术室1间,住院部设置口腔住院病床5张。口腔科现拥有西诺德数字化全景机一台,数字化牙片机一台,进口高压蒸汽灭菌设备两台及卡式消毒灭菌设备一台,进口EMS牙周治疗仪一台,进口EMS洁牙机五台。
目前口腔科能够完成口腔种植、内科、颌面外科、修复、正畸、儿童牙病、口腔预防保健等学科的所有治疗项目,如补牙、拔牙、镶牙、牙种植、牙齿正畸(常规矫治及隐形矫治)及牙齿洁治及口腔颌面外科手术等。尤其在牙周病、畸形矫治、老年人义齿修复治疗、种植牙修复、精密附着体义齿修复、咬合功能重建等等方面已经形成特色。
科室的主要研究方向:牙体牙髓病治疗、牙周病的系列治疗、口腔种植与临床、口腔颌面创伤、前牙的美容修复、牙列缺损、缺失的修复的系列治疗。实现了医生的“全科化。
近年来,科室承担了云南省交通运输厅科技项目1项,院级科研项目1项,成立牙周病专病治疗中心。共发表论文128篇,其中核心期刊40余篇,承担了云南中医药大学及相关职业学院的临床教学任务。
科室联系方式:0871-63307415。

口腔种植手术室

口腔综合治疗椅

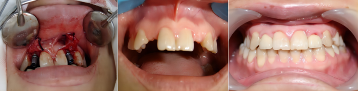
牙周病修复治疗

口腔种植修复

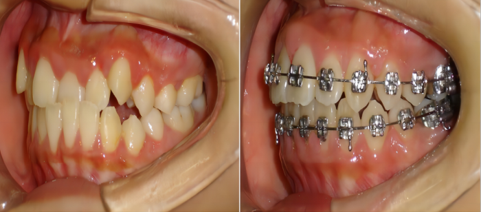
牙列畸形的正畸治疗
版权所有 Copyright © 2023 云南中医药大学第二附属医院 版权所有 滇ICP备19002846号-1
滇公网安备 53011102001355号
技术支持: 川海数科