您好,欢迎访问云南中医药大学第二附属医院官方网站!
综合信息 <
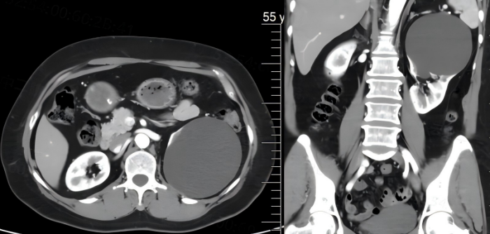
近日,医院外科团队成功为一名55岁女性巨大肾囊肿患者实施经后腹膜腹腔镜下左肾囊肿去顶减压术。

患者,女,55岁,半年前在我院外科因急性阑尾炎住院手术治疗,术中发现左肾巨大囊肿(囊肿约10cm),当时因腹腔感染未能进一步手术处理。患者出院后自觉走路及轻量运动后出现左腰部酸胀,再次入住外科。经完善术前相关检查,排除手术禁忌症,与患者及其家属充分沟通后,决定由科室主任郭勇主刀为患者实施“后腹膜腹腔镜下左肾囊肿去顶减压术”。整个手术用时短,出血量少,术后第1天,患者即可正常下地活动、正常饮食,术后恢复良好于近日出院。

术前

术后
后腹膜腔镜的优势
相较于传统开腹手术及经腹腔镜手术,后腹腔镜手术不需要通过腹腔拨开层层脏器到达患处,而是可以更快、更直接进入手术区域,减少对肠道干扰,降低内脏损伤的可能,防止尿液、细菌污染腹腔,并且不受既往腹腔疾病、手术的影响,具有术野清晰直观、创伤小、疼痛轻、恢复快、手术效果确切、并发症少、刀口美观等优势。
版权所有 Copyright © 2023 云南中医药大学第二附属医院 版权所有 滇ICP备19002846号-1
滇公网安备 53011102001355号
技术支持: 川海数科