您好,欢迎访问云南中医药大学第二附属医院官方网站!
综合信息 <
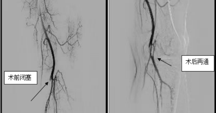
2023年2月13日,医院神经-心血管科为一名22岁小伙子成功完成下肢动脉闭塞再通术。

22岁小伙子平时喜欢久坐玩游戏,且经常跷“二郎腿(左脚在上)”。2月前发现左下肢疼痛、麻木、发凉,行走1公里或者跑步数十米即出现上述症状,休息后缓解,在外院行下肢血管CTA检查示:左侧腘动脉闭塞,口服药物治疗无缓解而入住我院。行相关检查排外心源性栓塞及血管炎等因素后,经专家团队充分讨论,给予行左侧闭塞腘动脉介入治疗,使用导丝通过闭塞段血管后行球囊扩张成形术,手术顺利,术后血流恢复好,间歇性跛行症状明显改善。

随着人们工作与娱乐方式的改变,大部分人在日常生活中时常“一坐不起”,而久坐会对下半身血液循环造成不良影响,跷“二郎腿”对局部血管产生机械性损伤后血管内膜增生,从而出现血管狭窄或者闭塞。

该病早期可无明显症状,或仅有轻微不适,如畏寒、发凉等。因血管壁上脂质斑块沉淀堆积,而使其变得僵硬和狭窄,狭窄逐渐严重后甚至出现完全闭塞,之后逐渐出现间歇性跛行症状,最终肢体可出现溃疡、坏疽。

医生温馨提醒“久坐”的朋友,规范坐姿,不跷“二郎腿”,久坐之后起身活动一下,多运动,保持一个健康的身体状态。
上一篇:阳康后眩晕,快来看看中医怎么办?
版权所有 Copyright © 2023 云南中医药大学第二附属医院 版权所有 滇ICP备19002846号-1
滇公网安备 53011102001355号
技术支持: 川海数科